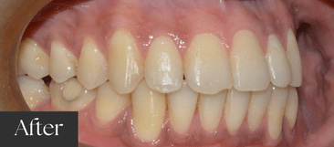
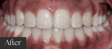
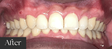
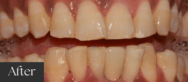
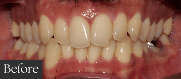
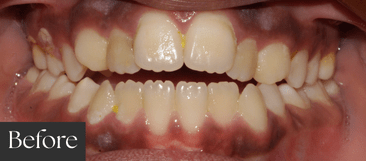
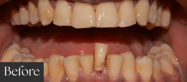
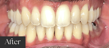
Case studies

Call : +91 7846889900

Call Icon
img