Case Study
Orthognathic Surgery
What was the problem and what could have happened if left untreated?
The patient had difficulty chewing due to a small lower jaw and forwardly placed upper front teeth.
If left untreated, this condition could have led to issues with the TMJ (jaw joint), difficulty in chewing, and eventual loss of teeth because of abnormal forces, along with a higher risk of gum disease or cavities.
What caused it?
The condition was genetic, resulting from a difference in the rate and amount of growth between the upper and lower jaws during childhood.
What was the treatment done?
A combined approach of braces and orthognathic (jaw) surgery was carried out to improve both the bite and the facial appearance.
The total duration of the treatment was over 24 months.
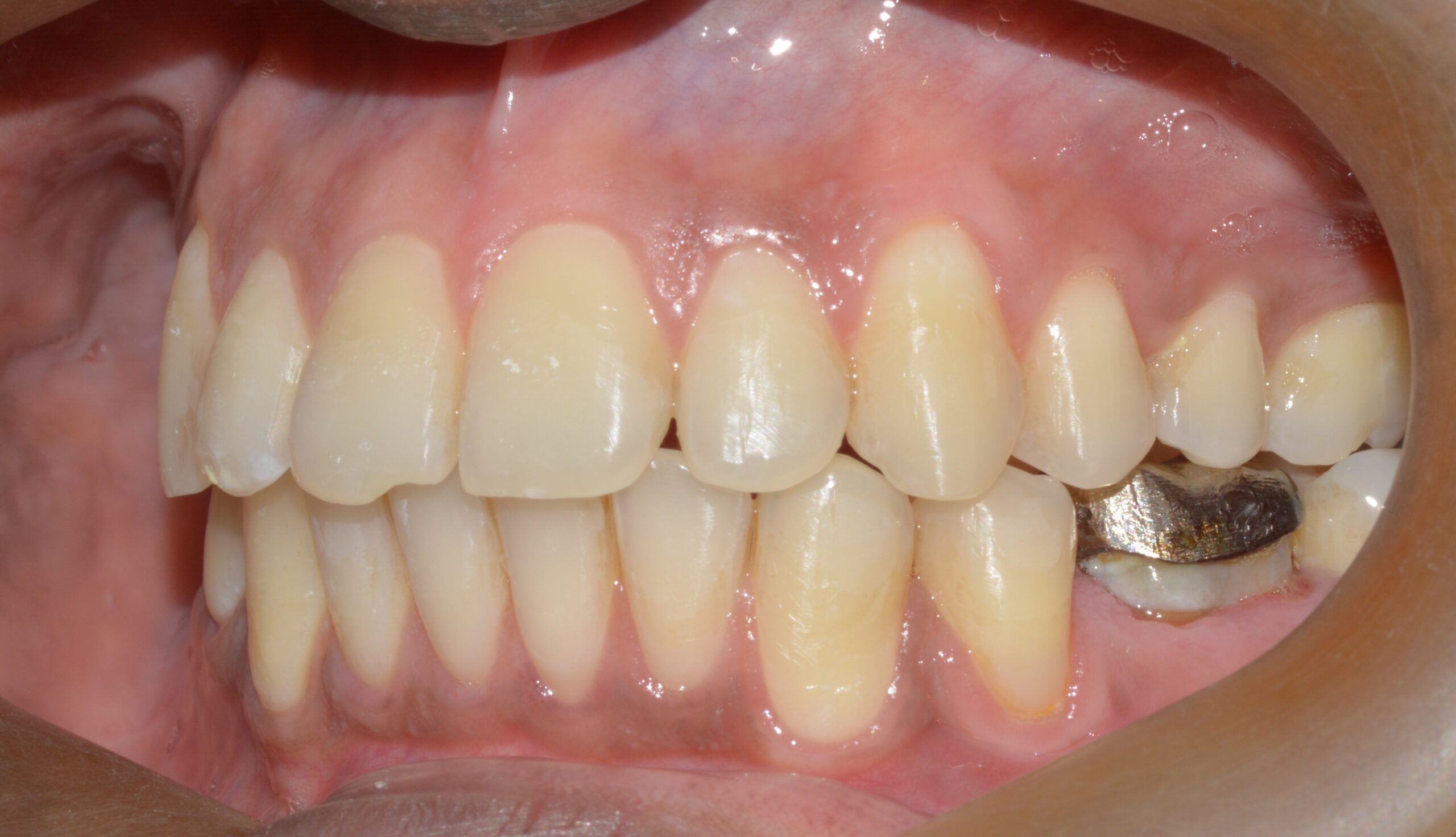
Before
After
Before
After
Before
After
