Case Study
Gaps Between The Teeth
What was the problem and what could have happened if left untreated?
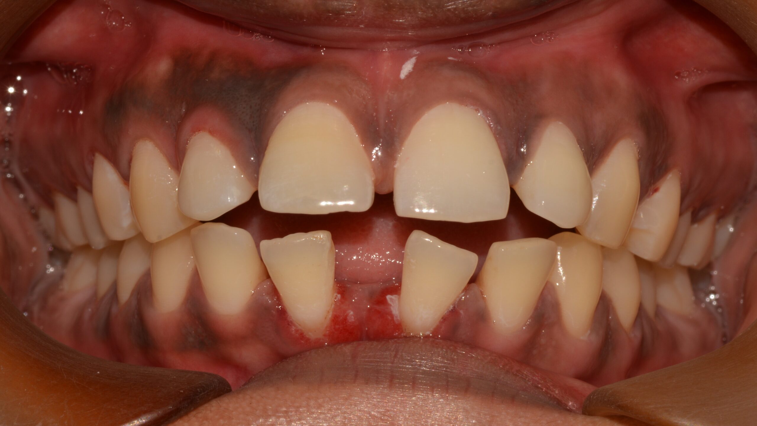
The patient had large gaps between the teeth, which were slowly being pushed forward by the tongue. This made the teeth loose and was further complicated by gum issues due to not visiting the dentist regularly for cleaning and check-ups.
If left untreated, the patient could have suffered tooth loss, especially in the front tooth region, leading to an altered smile at a very young age.
What caused it?
The gaps occurred because there was more space in the jaws compared to the smaller-sized teeth. It could also have been caused by the habit of pushing the tongue forward onto the front teeth, known as tongue thrust.
What was the treatment done?
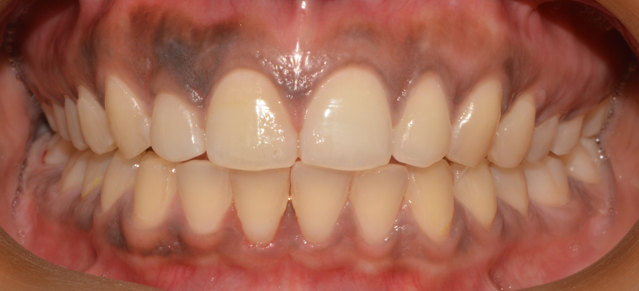
The patient was treated with aligner therapy using Invisalign aligners, which applied light forces to close the gaps. This treatment also helped the loose lower front teeth become stable over time, preventing the need for tooth removal and future implants.
The total treatment duration was between 18 to 20 months.
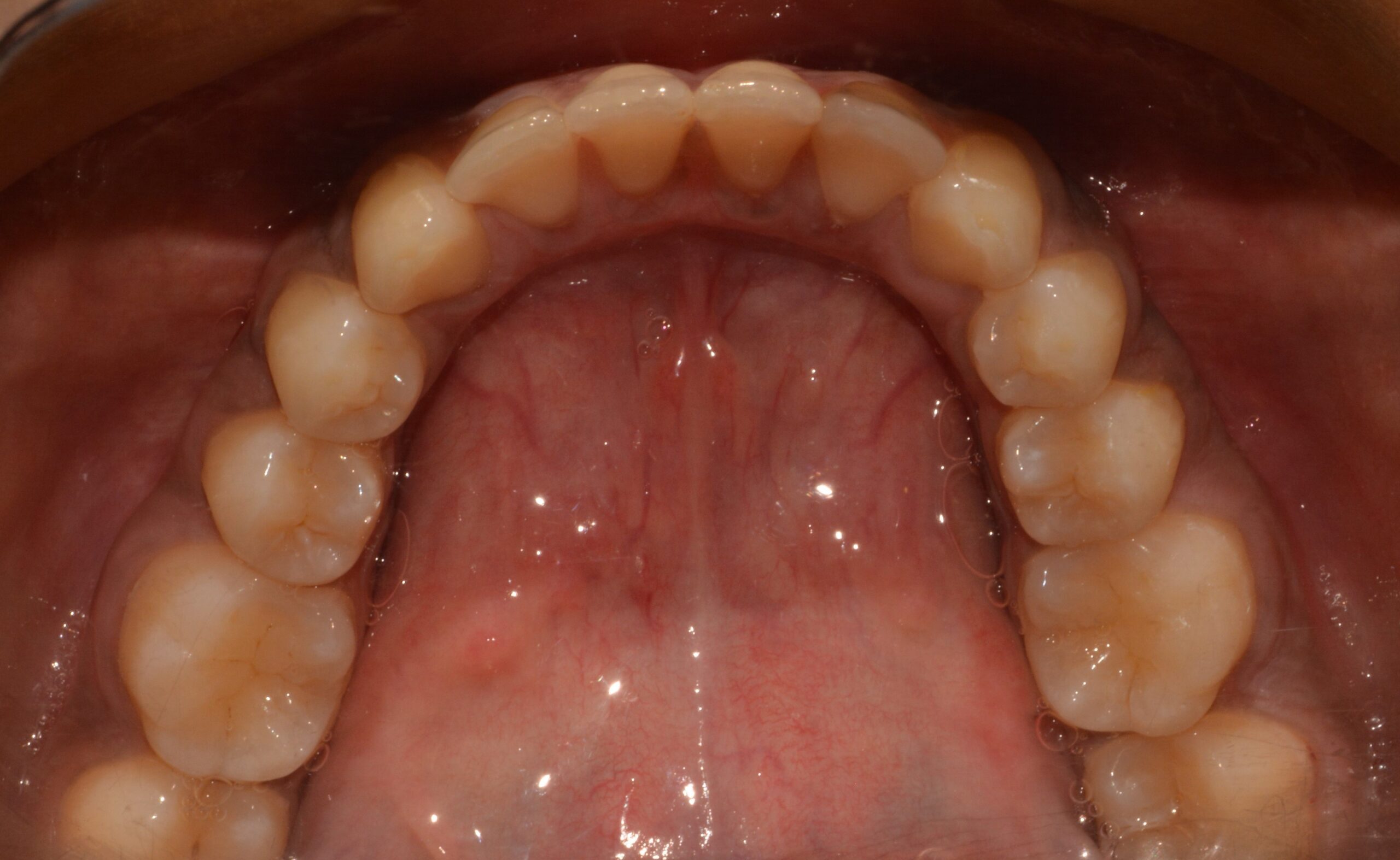
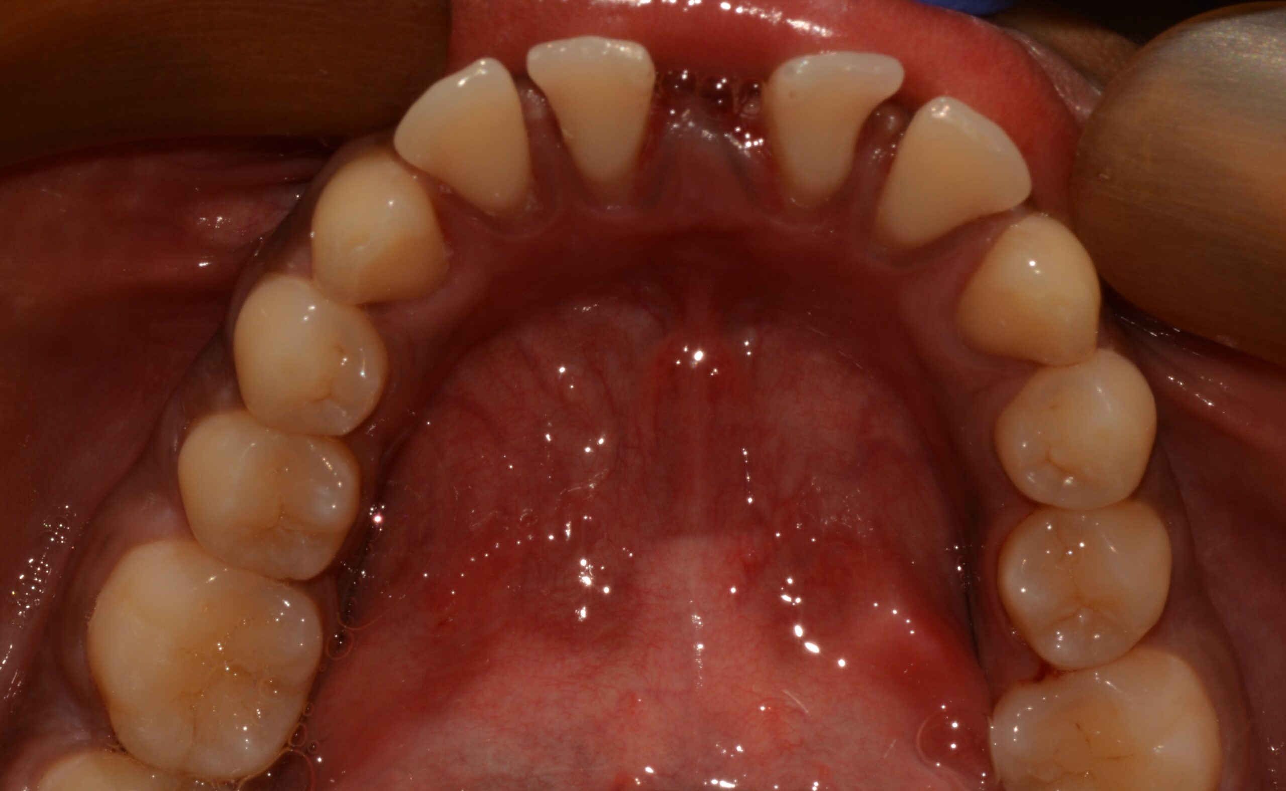
Before
After
Before
After
Before
After
