Case Study
Trauma To Teeth
What was the problem?
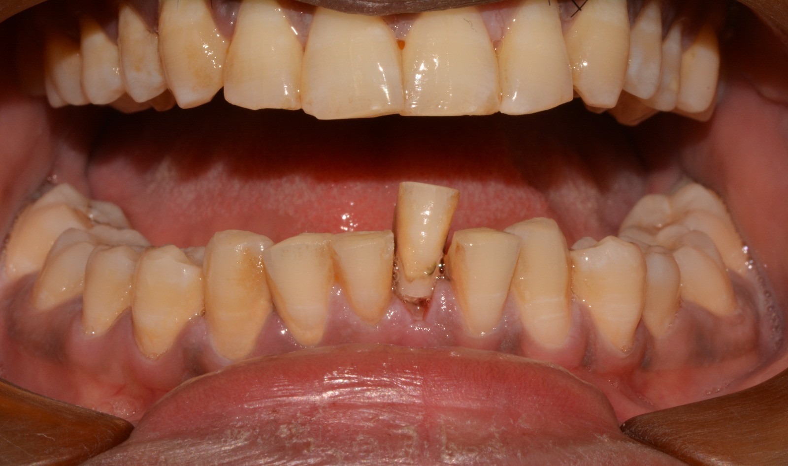
The patient came with a broken and shaky tooth after getting hurt on the face while playing soccer.
What caused the problem?
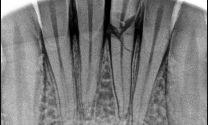
The trauma caused by the soccer ball led to a severe horizontal crack in the tooth that made it loose and impossible to save. The surrounding bone was thin for placing an implant immediately.
Which treatment was performed?
We did an emergency removal of the broken tooth and placed an immediate replacement using a Maryland Bridge. A bone-building procedure was also done to prepare the area for future implant treatment.
Before
After
x-ray before
