Case Study
Crowded Teeth and Crossbite
What was the problem and what could have happened if left untreated?
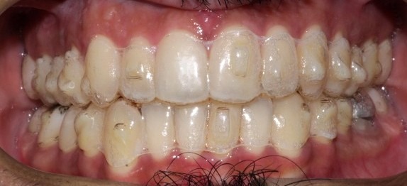
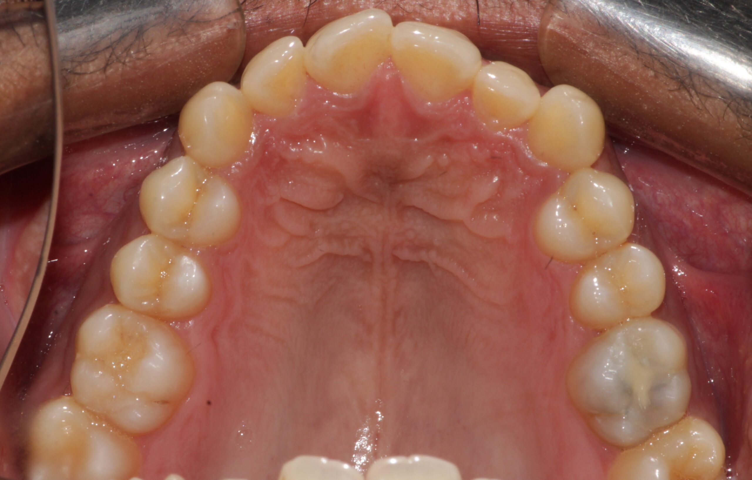
The patient had teeth crowding and a crossbite, where a lower tooth was biting in front of an upper tooth. This condition led to the accumulation of plaque, tartar, and cavities.
If left untreated, it could have caused possible loss of teeth in the long term due to gum disease or cavities, as crowded teeth are difficult to clean effectively with regular brushing.
What caused it?
Crowding and crossbite are caused by multiple factors, mainly a lack of space in the jaws to accommodate all the teeth, as well as the possible early loss or late shedding of milk teeth during childhood.
What was the treatment done?
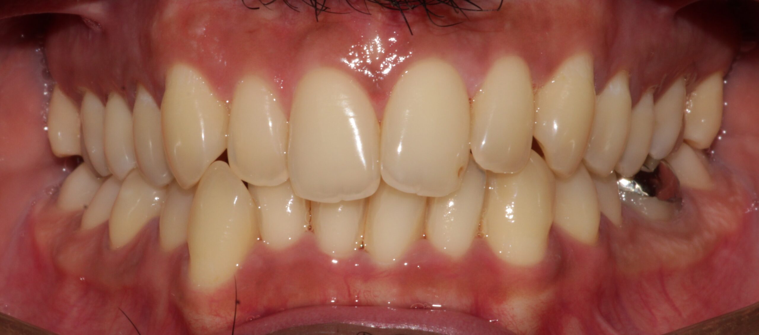
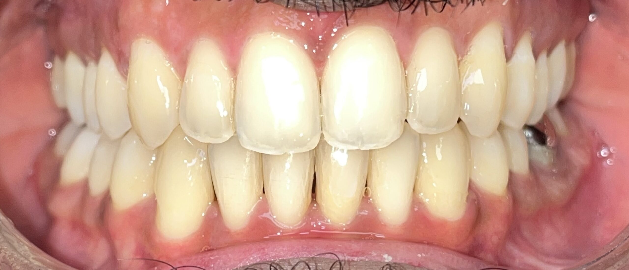
The patient underwent aligner therapy using Invisalign aligners to correct the crowding and crossbite, ultimately giving the patient an improved smile.
The treatment duration was between 14 to 18 months.
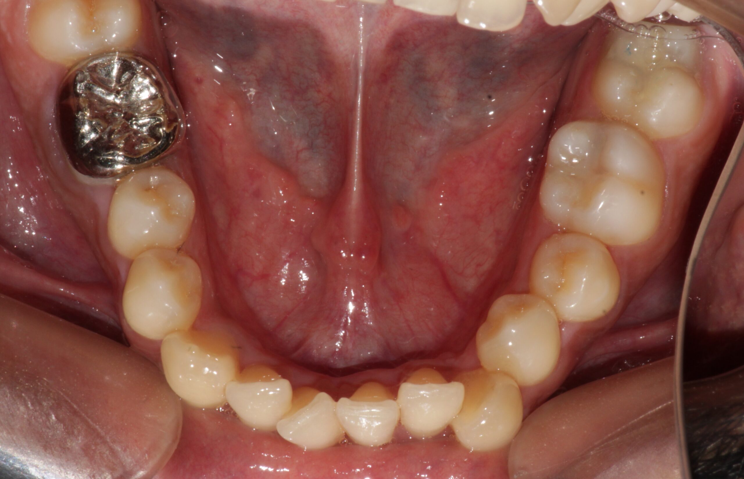
Before
During The Treatment
After
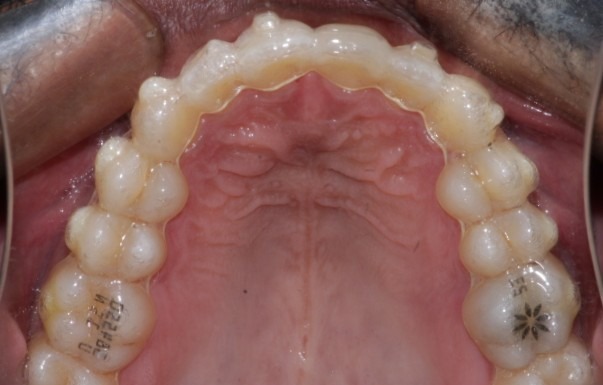
Before: Upper
During The Treatment
After: Upper
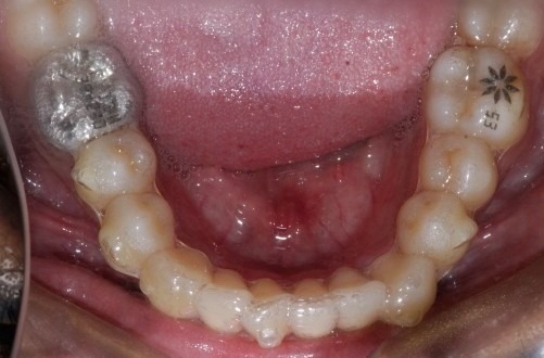
Before: Lower
During The Treatment
After: Lower
