Deep Teeth Cleaning & Polishing by Expert Dentists in Bangalore!
- 20,000+ Happy Smile | 5 Caring Locations | Personalized Treatment Plans | EMI Options
Request a callback for a consultation!
Fill out the form, and our dental experts will be in touch with you within 24 hours.
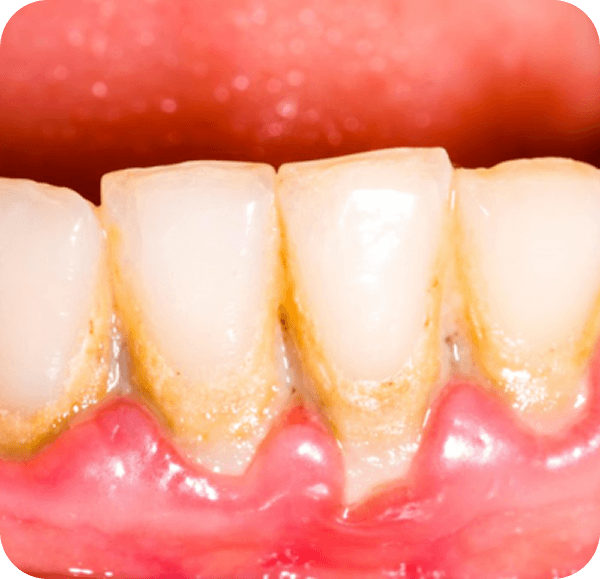
Professional Teeth Cleaning in Bangalore – Say Goodbye to Plaque & Tartar!
At Ridgetop Dental International, our expert periodontists provide advanced teeth cleaning and polishing to remove plaque, tartar, and stains, ensuring healthier gums and a brighter smile. Using ultrasonic scalers and specialized techniques, we offer pain-free, thorough cleaning to prevent cavities and gum disease.
- Gentle & Painless Teeth Cleaning by Expert Dentists!
- Advanced Ultrasonic Scaling for Deep Cleaning!
- Fluoride Treatment for Stronger & Cavity-Free Teeth!
What is Teeth Cleaning & Why is it Important?
Teeth cleaning, also known as dental cleaning or scaling & polishing, is a routine oral hygiene procedure that removes plaque, tartar, and stains from teeth to maintain healthy gums and a bright smile.
Prevents Gum Disease & Cavities
Removes bacteria before it causes infection.Freshens Breath
Eliminates bad breath caused by plaque buildup.Protects Enamel & Prevents Tooth Decay
Strengthens teeth with fluoride.Improves Overall Oral Health
Reduces risk of serious dental issues.Gives You a Whiter, Brighter Smile!
Advanced Teeth Cleaning & Polishing – What We Offer
Teeth Scaling & Deep Cleaning
- Ultrasonic Scalers for gentle plaque & tartar removal.
- Helps prevent cavities, gum disease, and bad breath.
Teeth Polishing for a Brighter Smile
- Removes surface stains for smoother, shinier teeth.
- Restores natural whiteness without harsh chemicals.
Fluoride Treatment for Stronger Teeth
- Strengthens enamel & prevents decay.
- Ideal for sensitive teeth & cavity prevention.
Visit the Best Teeth Cleaning Dentist in Bangalore Today!
Who Needs Teeth Cleaning?
Have plaque or tartar buildup?
Get a deep cleaning before it leads to cavities.
Suffering from bleeding gums or bad breath?
Professional cleaning can help.
Want a brighter, whiter smile?
Polishing removes stains for a fresh look.
Haven’t visited a dentist in 6 months?
Regular cleanings keep your teeth & gums healthy.
Keep Your Smile Fresh & Healthy!
Why Choose Ridgetop Dental for Teeth Cleaning?
Best Teeth Cleaning Dentists in Bangalore
Highly experienced specialists.
Teeth Cleaning & Polishing for a Brighter Smile
Removes stains effectively.
Deep Cleaning to Prevent Cavities & Gum Disease
Eliminates plaque & tartar buildup.
Teeth Strengthening Fluoride Treatment
Protects enamel & prevents decay.
Pain-Free & Comfortable Experience
Gentle treatment with ultrasonic scalers.
State-of-the-Art Dental Clinic for Cleaning Teeth
Advanced equipment & expert care.
Why Ridgetop Dental is the Best Teeth Cleaning Clinic in Bangalore?
- Highly Experienced Periodontists & Dentists
- Advanced Ultrasonic & Deep Cleaning Techniques
- Painless Teeth Cleaning & Polishing for a Bright Smile
- Personalized Care & Affordable Treatment Plans
Google Reviews
Dr. Tarika did an amazing job with my teeth cleaning! She was thorough, gentle, and made the entire process comfortable. It was definitely worth spending the money for such excellent care. I highly recommend her for anyone looking for professional dental treatment. Great experience overall.
I recently visited Ridgetop Dental for a tooth cleaning, and I couldn’t be happier with the experience. From the moment I walked in, the staff made me feel comfortable and well-cared. The clinic was spotless and had a very calming atmosphere, which helped ease any nervousness. The dental hygienist was thorough, gentle, and explained each step of the process, ensuring I was comfortable throughout. After the cleaning, my teeth felt fantastic, truly the best experience I’ve had in a dental clinic! The dentist also took the time to answer my questions and gave me practical tips for maintaining my dental health. I highly recommend Ridgetop Dental to anyone looking for a place that combines professionalism with genuine care. Five stars for great service and an exceptional cleaning experience!
Been to the clinic today for a filling and cleaning. Must say have been patronizing this place for more than 2 years. I am never disappointed with the treatments. Doctor is so professional yet so caring and the staff always humble and patient . Would 💯 recommend this place if u want to experience what I have been since these years. Cheers
Had a wonderful experience with my mouth cleaning expertly done by Dr. Akshay! He put me to ease through the entire process (considering I had always been scared to go to the dentist) and ensured to give me a thorough explanation about how to maintain my teeth and its health. I would absolutely recommend the doctors here mainly because of the rich experience they have, the amount of time they spend with you to ensure that everything is explained well and all queries answered.
I recently visited this clinic for a teeth cleaning, and I couldn't be more impressed with the level of care and professionalism I received. Dr. Akansha and Dr. Akshay were exceptional in their approach, making sure I was comfortable throughout the entire process. Their expertise and attention to detail were evident, and they took the time to explain each step, which I greatly appreciated. The clinic's environment was welcoming and spotless, and the staff were friendly and efficient. I highly recommend this clinic for anyone seeking top-notch dental care. Thank you, Dr. Akansha and Dr. Akshay, for a wonderful experience!
Our specialist for
Teeth Cleaning treatment
FAQs On Teeth Cleaning Treatment
Teeth cleaning, also known as dental prophylaxis or a dental cleaning, is a professional dental procedure to remove plaque, tartar, and stains from the teeth. It helps prevent gum disease, cavities, and other oral health issues while promoting a cleaner, healthier smile.
The American Dental Association (ADA) recommends getting your teeth professionally cleaned by a dentist at least every six months. However, some individuals with specific oral health concerns may require more frequent cleanings.
Teeth cleaning offers several benefits, including:
- Removal of plaque and tartar buildup
- Prevention of gum disease and cavities
- Fresher breath
- Brighter, whiter smile
- Early detection of dental issues such as cavities or gum disease
Teeth cleaning is typically not painful, although some individuals may experience mild discomfort or sensitivity, especially if they have sensitive gums or teeth. The procedure is usually gentle and well-tolerated, and any discomfort can be minimized by communicating with our dentist.
Teeth cleaning typically involves several steps, including:
- Assessment of oral health and dental history
- Removal of plaque and tartar using specialized dental instruments
- Polishing of the teeth to remove surface stains
- Flossing to remove plaque and debris between the teeth
- Fluoride treatment, if necessary, to strengthen the enamel and prevent cavities
While teeth cleaning can remove surface stains and plaque buildup, it is not a whitening treatment. Professional teeth whitening procedures, either in-office or at-home, are specifically designed to lighten the colour of the teeth and achieve a brighter, whiter smile.
The duration of a teeth cleaning appointment can vary depending on factors such as the amount of plaque and tartar buildup, the thoroughness of the cleaning, and any additional treatments or procedures performed. On average, a routine teeth cleaning appointment may take between 30 minutes to one hour.
